블로그 자주 써야지라고 블로그에 써놓고 블로그 안쓰면 좀 웃기지 않을까 했는데
어쩔 수 없이 뭔가 적어야할 것 같은 경우가 생겼습니다.

이제부터 본격 임신 / 출산 / 육아 블로그를!
참, 예정일은 10월 6일. 이제 7주차인데, 확실히 경험이 없는 친구들은 바로, 남자냐 여자냐를 물어본다. 어이 비경험자들, 성별은 18주 후에나 알 수 있다네. 태명은 미정.
in
블로그 자주 써야지라고 블로그에 써놓고 블로그 안쓰면 좀 웃기지 않을까 했는데
어쩔 수 없이 뭔가 적어야할 것 같은 경우가 생겼습니다.

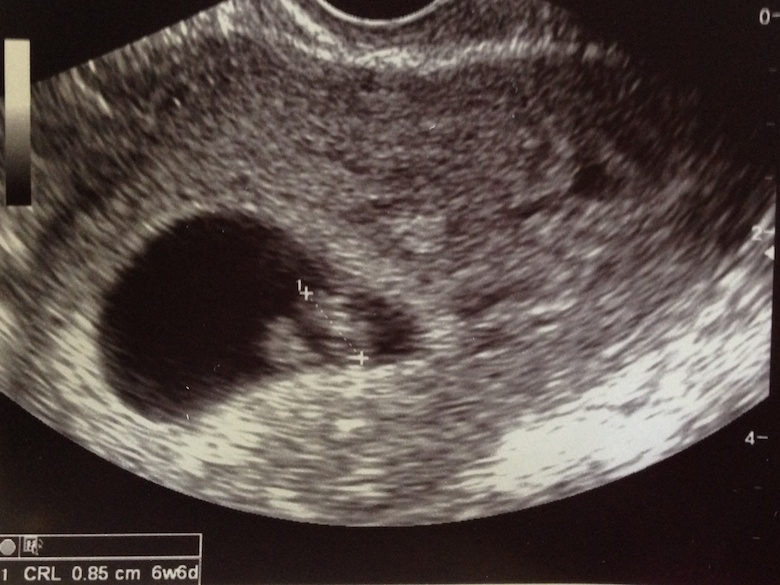
이제부터 본격 임신 / 출산 / 육아 블로그를!
참, 예정일은 10월 6일. 이제 7주차인데, 확실히 경험이 없는 친구들은 바로, 남자냐 여자냐를 물어본다. 어이 비경험자들, 성별은 18주 후에나 알 수 있다네. 태명은 미정.
